Dépistage de la trisomie 21 au cours de la grossesse : focus sur le DPNI

Dr. Sarah SNANOUDJ, Biologiste Médical chez Eurofins.

La trisomie 21, ou syndrome de Down, est une atypie chromosomique caractérisée par la présence d'un chromosome 21 supplémentaire. Elle peut entraîner des caractéristiques physiques particulières, des troubles cognitifs et des problèmes de santé associés. Le dépistage précoce au cours de la grossesse permet d’évaluer le risque que le fœtus soit atteint de cette anomalie. Le dépistage par le dosage dans le sang de marqueurs (marqueurs sériques) est systématiquement proposé. En fonction du résultat, une deuxième méthode peut être proposée, le Dépistage Prénatal Non Invasif (DPNI) : une prise de sang qui peut être réalisée à partir de la 10e SA.

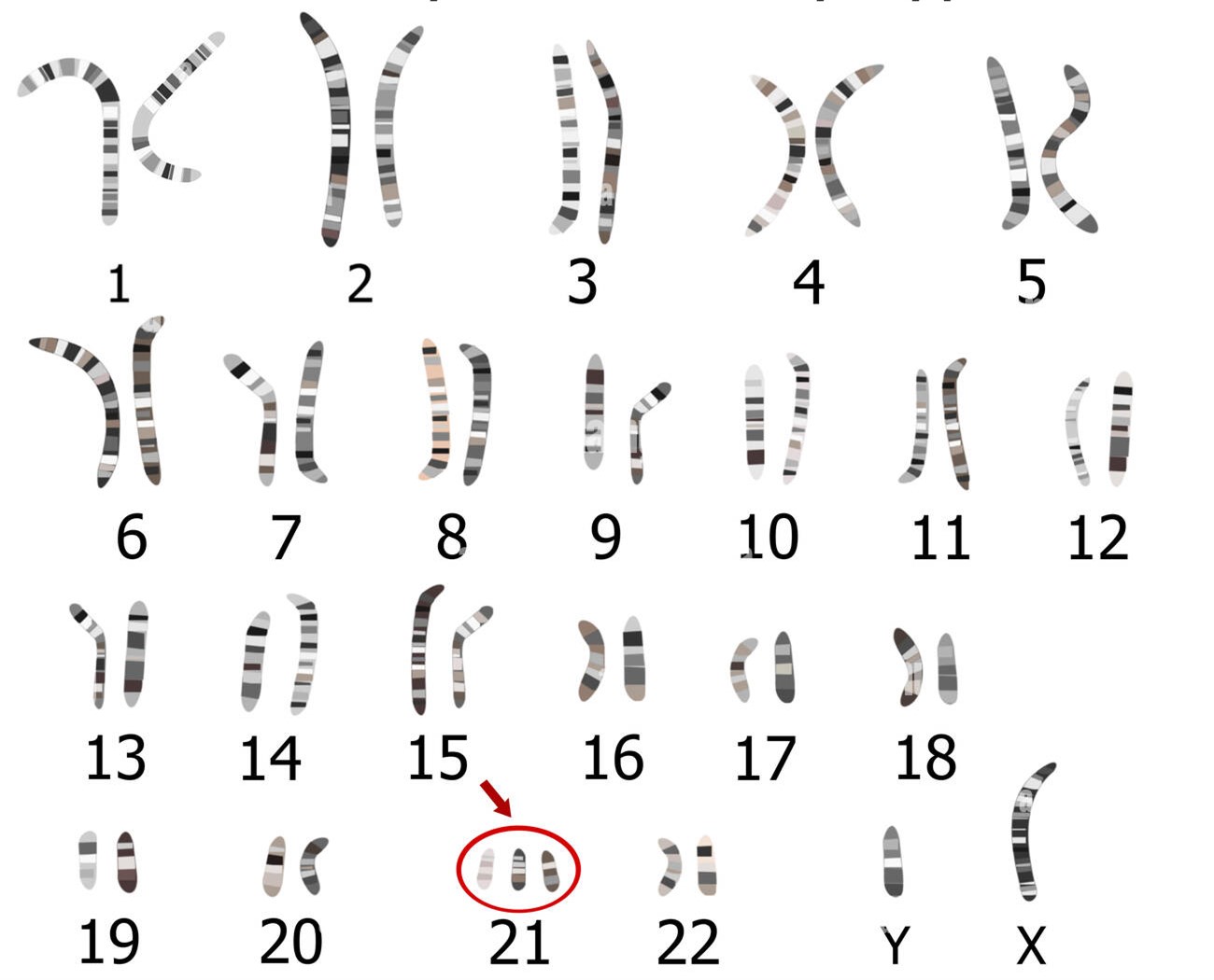
Schéma d’une analyse permettant de visualiser les chromosomes (caryotype). Il s’agit ici du caryotype d’un garçon (un chromosome X et un chromosome Y) atteint de trisomie 21 (47 chromosomes au lieu de 46, avec 3 chromosomes 21).
caryotype

1. Le dépistage par les marqueurs sériques

Qu'est-ce que c'est ? Il s'agit d'un test effectué au premier trimestre de la grossesse, entre 11 et 13 semaines + 6 jours d'aménorrhée. Il comprend une prise de sang, la mesure de l'épaisseur d'un pli de la nuque du fœtus (la clarté nucale) par échographie et l'âge maternel. La combinaison de ces éléments permet de déterminer un risque de trisomie 21 et de proposer une suite de prise en charge. Il faut en moyenne une dizaine de jours pour obtenir le résultat qui est communiqué sous forme de probabilité, ou risque :

Exemple : 1/1520 signifie que votre fœtus a 1 risque sur 1520 d'avoir une trisomie. Autrement dit, dans 1519 cas sur 1520, votre fœtus n'en est pas porteur.

2. Le dépistage prénatal non invasif (DPNI)

Qu'est-ce que c'est ? Le DPNI est une méthode récente qui analyse l’ADN fœtal circulant dans le sang maternel pour détecter la trisomie 21. Il est recommandé lorsque le risque de trisomie 21 est intermédiaire (entre 1 risque sur 51 et 1 risque sur 1000) selon le test par marqueurs sériques. Il est alors pris en charge par la sécurité sociale. Il peut être réalisé à partir de 10 semaines d’aménorrhée et il faut en moyenne une quinzaine de jours pour obtenir le résultat.

probabilités

Comment ça fonctionne ?

   

 

1. Prélèvement sanguin : Une prise de sang est réalisée à partir de la 10ᵉ semaine d’aménorrhée. 

2. Extraction de l’ADN : Dans le sang, circulent de petits fragments d'ADN en dehors des cellules, provenant de la mère mais également du fœtus (du placenta plus précisément). On sépare le sang prélevé chez la mère en deux parties : les cellules du sang d'un côté, le liquide appelé plasma de l'autre. On va ensuite isoler l'ADN du plasma, correspondant à l’ADN libre circulant (ADNlc). On peut étudier spécifiquement l'ADN du fœtus car les fragments sont plus petits que ceux de la mère.

3. Analyse génomique :

  • Les fragments d’ADN sont lus et comparés à un ADN de référence afin de faire correspondre chaque fragment à un chromosome.
  • Si l’ADN provenant du chromosome 21 est présent en quantité anormalement élevée, cela signifie que le fœtus a une forte probabilité d’avoir une trisomie 21.

4. Interprétation des résultats :

  • Un test négatif signifie que le risque de trisomie 21 est très faible.
  • Un test positif doit être confirmé par un examen diagnostique invasif (amniocentèse).
dpni

Avantages :

  • Très fiable (taux de détection > 99 %)
  • Non invasif, donc sans risque de fausse couche
  • Permet de réduire le recours aux tests invasifs

Limites :

  • Ne remplace pas un diagnostic formel
  • Ne détecte pas toutes les anomalies chromosomiques
  • Dans de rares cas, le test ne donne pas de résultat : Le professionnel de santé qui vous suit vous indiquera quelles sont les différentes options dans votre situation
Une anomalie à l’échographie contre-indique le DPNI. Un test diagnostic invasif (amniocentèse) est alors indiqué.

Indications prises en charges par l’Assurance Maladie, en l’absence de signes à l’échographie :

  • Risque compris entre 1/1000 et 1/51, suite au test des marqueurs sériques maternels
  • Risque supérieur ou égal à 1/50 si la patiente refuse un geste invasif proposé d’emblée
  • Grossesse gémellaire
  • Antécédent de grossesse avec trisomie 21
  • Parent porteur d’une translocation robertsonienne impliquant le chromosome 21

Autres indications (non prises en charge par l’Assurance Maladie) :

  • Souhait parental
  • Dépistage primaire
  • Age maternel > 38 ans pour les patientes n’ayant pas pu bénéficier du dépistage par les marqueurs sériques
  • Couple dont un des parents est porteur d’une translocation robertsonienne impliquant le chromosome 13
  • Antécédent de grossesse avec aneuploïdie autre que la trisomie 21
  • Profil atypique des marqueurs sériques maternels
Ce qu’il faut retenir :

Le dépistage prénatal de la trisomie 21 associe plusieurs outils pour évaluer le risque d’anomalies chromosomiques. Les marqueurs sériques sont une première étape accessible à toutes les femmes enceintes, tandis que le DPNI offre une alternative fiable et non invasive pour les situations à risque. En cas de doute, un diagnostic confirmatoire par une technique invasive est nécessaire.

Dépistage Trisomie 21, les questions fréquentes

Derniers articles

Loi encadrant l'AMP, quelles avancées ?

29/09/2021

La loi de bioéthique encadrant les activités d'Assistance Médicale à la Procréation a été promulguée le 2 Août 2021 et les décrets le 28 septembre 2021.

La mise en place d'outils pour renforcer l'accès aux activités de procréation dans les départements ultra-marins

26/04/2022

Face à la croissance de l'infertilité au sein de la population française, un plan ministériel pour la période 2022-2026 a été élaboré par le ministère des solidarités...

Huit conseils pour booster sa fertilité

19/01/2022

Des conseils simples, à la portée de tous peuvent booster votre fertilité et améliorer les chances de réussite du protocole médical.

Donner / Recevoir des embryons humains : l'accueil d'embryons

10/11/2021

Vous avez reçu une lettre de relance de notre part et/ou vous vous posez des questions sur l'accueil d'embryons (donner ou recevoir des embryons) ?